Radio Pulmonaire
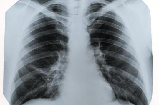
La radiographie pulmonaire Description La radiographie pulmonaire ou thoracique est un examen très couramment pratiqué Elle constitue souvent un examen de routine dans les visites d'embauche Il s'agit d'un examen radiographique qui prend tous les organes du thorax les poumons, la trachée, les bronches, la plèvre, les côtes, les clavicules.
Radio pulmonaire. œdème pulmonaire hémorragie pulmonaire cancer bronchioloalvéolaire Systématisation Le comblement intéresse la très grande majorité d’un lobe (systématisation lobaire) ou d’un segment (segmentaire) effacement des contours des vaisseaux du territoire. Pulmonaire dans l’asthme de l’enfant La scintigraphie pulmonaire permet pourtant une éva luation fonctionnelle locale non invasive de la fonction pulmonaire ventilation et perfusion des différents segments pulmonaires Elle peut mettre en évidence des troubles ventilations et des défects de perfusion (hypoxie locale. La dysplasie bronchopulmonaire (DBP) est une affection pulmonaire chronique qui touche les nouveaunés qui ont été soit mis sur une machine de respiration après la naissance ou sont nés trop tôt Causes Symptomes Traitement pronostic Prà  à ©vention Terme Maladie.
Examens radiographiques spécifiques Régions explorées Indications Imagerie de remplacement Arthrographie (avec injection directe du produit de contraste au niveau de l'articulation à explorer) Articulations ménisques, cartilage Pour mettre en évidence les anomalies/lésions des parties non visualisées par une radiographie standard. Visit the post for more Questions Answers 1 In a patient with a pulmonary nodule characterized as having a high likelihood for malignancy by computed tomography (CT), the next procedure of choice is. La tuberculose pulmonaire (TP) est une infection pulmonaire commune qui sévit dans le monde entier ;.
La radiographie pulmonaire postopératoire montre la présence de matériel radioopaque au niveau de plusieurs artères pulmonaires distales bilatérales, témoignant du passage veineux du matériel d'embolisation sans incidence clinique. La « trame » pulmonaire formée notamment par les vaisseaux est plus dense à la base qu’au sommet et diminue du hile à la périphérie Elle définit la transparence pulmonaire Les culs de. RadIO RadIO is a framework for data science research of computed tomography (CT) imaging Main features Asynchronously load DICOM and MetaImage (mhd/raw) files;.
Pulmonaire gauche montrant les foyers de DDB La TDM est la meilleure technique radiologique pour le diagnostic positif de la DDB, le diagnostic topographique, la détermination du type de la DDB et la recherche de complications associées Elles contiennent par endroit des niveaux hydroaériques. Introduction Chest CT plays an important role in optimizing the treatment of patients with coronavirus disease 19 (COVID19) while also eliminating alternate diagnoses or added pathologic conditions, particularly for acute pulmonary embolism ()A few studies and isolated clinical cases of COVID19 pneumonia with coagulopathy and pulmonary embolus have recently been published (2–4). Pulmonary embolism (PE) refers to embolic occlusion of the pulmonary arterial system The majority of cases result from thrombotic occlusion, and therefore the condition is frequently termed pulmonary thromboembolism which is what this article ma.
Pulmonary infections are common and are caused by a wide range of organisms Pathology Microorganisms responsible may enter the lung by three potential routes via the tracheobronchial tree most commonly due to inhalation of droplets of secretions from another infected human. Thirtytwo of 106 patients (30% 95% confidence interval 22%, 40%) with coronavirus disease 19 infection were positive for acute pulmonary embolus on pulmonary CT angiograms. Est une pathologie fréquente et grave nécessitant un diagnostic positif de certitude rapide.
La radiographie pulmonaire est essentiellement indiquée en cas de signes ou problèmes respiratoires toux persistante, expectorations, douleur du thorax ou de la poitrine (suite à un traumatisme par exemple). Since December 19, cases of coronavirus disease 19 (COVID19) have been emerging in Wuhan, Hubei Province, China, and the epidemic has swiftly spread to other parts of China and beyond 1 As of February 25, there were a total of 77 779 cases of diagnosed COVID19, 24 cases of suspected COVID19, 27 361 cured cases, and 2666 deaths from it in China, and there were 2464 cases of diagnosed. CHAPITRE 2 RADIOANATOMIE DU THORAX B Ghaye, C Beigelman, C Meunier, A Desir, X Boulanger, S Trogrlic and A Khalil Ce chapitre vise à rappeler l’anatomie normale du thorax et sa représentation radiologique, qu’il s’agisse de la radiographie thoracique, de la tomodensitométrie (TDM) ou de l’imagerie par résonance magnétique (IRM).
3,385 Followers, 238 Following, 310 Posts See Instagram photos and videos from Magnumlaradio (@magnumlaradio). La pathologie pulmonaire En quelques tableaux et images Dr M CUSSE, 06 2 Semio radio thorax MariusSorin Ciontea Bpco tabib76 13 0713 chirurgie de lemphysème pulmonaire abdennadher mahdi pdf Abdennadher Mahdi Referentiel national semiologierespiratoire Egn Njeba. 1 Cathéter artériel pulmonaire (cathéter de SwanGanz) Définition Dispositif médical destiné au cathétérisme de l’artère pulmonaire à des fins de monitorage de situations hémodynamiques complexes Principe de fonctionnement Cathéter flottant à plusieurs lumières ayant un ballonnet à son extrémité introduit dans l’artère pulmonaire (AP) permettant de mesurer les.
3 Vascularisation pulmonaire a) Chez le sujet normal Les 2 artères pulmonaires ont un calibre maximum de 15 mm;. Dump files to blosc to compress datasets and thus accelerate loading;. Elle présente des caractéristiques qui font qu’un diagnostic précis est important Dans le cas de la tuberculose pulmonaire, le traitement est long et spécifique, différent des traitements appliqués dans d’autres infections bactériennes.
TV / Radio Théâtre il serait absurde de considérer qu’une personne présentant une pneumonie sur une imagerie pulmonaire est porteuse du Covid19, les tests effectués aujourd’hui par. IUCPQ L'emphysème avec un pneumologue, Dr Mathieu Simon Gracieuseté RadioCanada. Pulmonaires translation in French English Reverso dictionary, see also 'congestion pulmonaire',palmarès',polaire',populaire', examples, definition, conjugation.
Écoutez l'épisode 55 de Radio Cochin dans lequel le Pr Vincent Mallet interview le Pr Michaela Fontenay et lui soumet le cas clinique suivant Patient de 55 ans avec soupçon d’embolie pulmonaire. Examen de 273 habitants d'un village dans les environs de Niamey et 10 enfants scolaires de Niamey par radio immunologie 19% sont porteurs de l'antigène HBs et 53% de l'anticorps antiHbs. La radiographie est née à la fin du XIX e siècle avec l'utilisation des rayons X Puis, de nouvelles techniques d'imagerie médicale sont apparues, telles que le scanner et l'IRM (imagerie à.
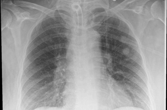
Title Microsoft Word parasitose_pulm Author omar Created Date 3/31/08 PM. Feuillets de Radiologie Vol 40 N° 5 p 349 Les pièges de la radiographie pulmonaire normale EMconsulte. La radiographie pulmonaire est recommandée en cas de troubles respiratoires, de quintes de toux persistantes accompagnées de fièvre, de douleurs thoraciques ou encore d’anomalies notées lors d’une auscultation pulmonaire classique au stéthoscope Une radio du thorax peut être demandée dans le cadre d’un bilan préopératoire.
La tomodensitométrie thoracique est la TDM la plus réalisée en pratique courante L’objectif de cet article, est, par l’intermédiaire de nombreuses images, et d’explications, d’appréhender de manière simple l’anatomie pulmonaire, afin d’être précis dans la localisation d’une lésion pulmonaire dans le cadre d’un bilan diagnostique, d’un suivi, ou après pneumonectomie. La radiographie pulmonaire est généralement normale Foot radiographs are usually normal See how “ radiographie pulmonaire ” is translated from French to English with more examples in context. Plus le diagnostic de cancer du poumon est posé tôt, meilleure sera la prise en charge de la maladie et plus grandes seront les chances de survie du patient C’est pourquoi il est important de consulter un médecin dès l’apparition des premiers symptômes.
Thirtytwo of 106 patients (30% 95% confidence interval 22%, 40%) with coronavirus disease 19 infection were positive for acute pulmonary embolus on pulmonary CT angiograms. Illustration d’un anévrysme pulmonaire radioinduit fatal fautil bannir la stéréotaxie pulmonaire centrale ?. EMBOLIE PULMONAIRE QUE DOIT DIRE LE RADIOLOGUE TraoreO*, KonéA**, WakrimS*, SiwaneA*, LaoudiyiD*, LezarS*, EssodeguiF*, HabbalR** Service central de radiologie* et service de cardiologie** Chu Ibn Rochd Casablanca Maroc Résumé.
Thirtytwo of 106 patients (30% 95% confidence interval 22%, 40%) with coronavirus disease 19 infection were positive for acute pulmonary embolus on pulmonary CT angiograms. Contextual translation of "radio pulmonaire face" into English Human translations with examples MyMemory, World's Largest Translation Memory. Injection d’un traceur radio actif, bilan d’extension et suivi évolutif des cancers pulmonaires 6/Angiographie pulmonaire Mesure des pressions, premier temps d’une embolisation (hémoptysie abondante, malformation vasculaire) 7/ Scintigraphie pulmonaire De perfusion (embolie pulmonaire) ou de ventilation (sténose bronchique).
A pulmonary consolidation is a region of normally compressible lung tissue that has filled with liquid instead of air The condition is marked by induration of a normally aerated lung It is considered a radiologic sign Consolidation occurs through accumulation of inflammatory cellular exudate in the alveoli and adjoining ducts The liquid can be pulmonary edema, inflammatory exudate, pus, inhaled water, or blood Consolidation must be present to diagnose pneumonia the signs of lobar pneumonia. Le bleu de méthylène impliqué dans l'amélioration de la mémoire à court terme MERCREDI 29 JUIN 16 Soyez le premier à réagir Selon une nouvelle étude publiée en ligne dans la revue "Radiology", une dose orale unique de bleu de méthylène augmenterait la mémoire à court terme, ainsi que l'attention. La radiographie pulmonaire est un examen qui permet de visualiser les poumons, la trachée, les bronches et la plèvre (feuillet qui entoure le poumon) Elle a pour but de détecter une infection, une inflammation, un cancer, une pleurésie ou encore un pneumothorax.
L’assassinat de John Fitzgerald Kennedy, trentecinquième président des ÉtatsUnis, a lieu le vendredi 22 novembre 1963 à Dallas à 12 h 30 CST, soit 18 h 30 UTCLe cortège présidentiel traverse à vitesse réduite le centre de la ville Lorsque la voiture présidentielle, décapotée, passe sur Dealey Plaza, John F Kennedy est mortellement blessé par des tirs d'arme à feu. Andre Girard is on Facebook Join Facebook to connect with Andre Girard and others you may know Facebook gives people the power to share and makes the. Emphysème Il s’agit d’une destruction du parenchyme pulmonaire formant • des images cavitaires sans paroi individualisable • une augmentation de la transparence du parenchyme pulmonaire (dévascularisation) • une distension secondaire du thorax (aplatissement des coupoles diaphragmatiques, horizontalisation des côtes) • une.
Essais gratuits, aide aux devoirs, cartes mémoire, articles de recherche, rapports de livres, articles à terme, histoire, science, politique. Introduction Chest CT plays an important role in optimizing the treatment of patients with coronavirus disease 19 (COVID19) while also eliminating alternate diagnoses or added pathologic conditions, particularly for acute pulmonary embolism ()A few studies and isolated clinical cases of COVID19 pneumonia with coagulopathy and pulmonary embolus have recently been published (2–4). Create concise chainable workflows with actions or use tailored pipelines for preprocessing.
La séquestration pulmonaire est une malformation congénitale caractérisée par la vascularisation artérielle d'origine systémique d'un segment du poumon Nous décrivons une observation de séquestration pulmonaire traitée par ligature de l'artère anormale sans résection pulmonaire associée. La pathologie pulmonaire En quelques tableaux et images Dr M CUSSE, 06 2 Semio radio thorax MariusSorin Ciontea Bpco tabib76 13 0713 chirurgie de lemphysème pulmonaire abdennadher mahdi pdf Abdennadher Mahdi Referentiel national semiologierespiratoire Egn Njeba. Il montre une densité grise.
Transform and augment CTscans in parallel for faster preprocessing;. Defimediainfo, Port Louis Town, Port Louis, Mauritius 546,857 likes · 80,101 talking about this Toute l'actualité de l'île Maurice en temps réel. When treated by either surgical resection or local radio therapy alone, there is an equally grim prognosis about 50% of such patients relapse with distant metastases.
At least 11 double lung transplants have been performed across the country including in Florida, New Mexico, Texas and Wisconsin and seven have been done at Northwestern in Chicago. Since December 19, cases of coronavirus disease 19 (COVID19) have been emerging in Wuhan, Hubei Province, China, and the epidemic has swiftly spread to other parts of China and beyond 1 As of February 25, there were a total of 77 779 cases of diagnosed COVID19, 24 cases of suspected COVID19, 27 361 cured cases, and 2666 deaths from it in China, and there were 2464 cases of diagnosed. Une cavité pulmonaire est une hyperclarté parenchymateuse circonscrite, c'estàdire entourée d'une paroi d'épaisseur variable L'excavation ou cavitation est l'apparition d'une cavité On inclut dans le syndrome cavitaire les hyperclartés dans une zone de condensation, une masse ou un nodule ;.
One year after, a fibroscopy showed a necrosis of the right main bronchus mucosae and the CT showed a radioinduced aneurysm protruding into the right inferior lobular bronchus The patient eventually died a few hours later. Parenchyme pulmonaire •«Trame » = vaisseaux Ø vasculaire plus large aux bases / sommets Ø bases / sommets = 2 / 1 en position debout •Symétrie de transparence et volume des 2 hémithorax bronches visibles de façon très proximale visible 15 mm de la paroi Parenchyme pulmonaire. La radiographie pulmonaire permet aux médecins de visualiser les organes intrathoraciques comme les poumons, la trachée, les bronches, le médiastin et la plèvre (Double feuillet qui recouvre le poumon).
La tomodensitométrie thoracique est la TDM la plus réalisée en pratique courante L’objectif de cet article, est, par l’intermédiaire de nombreuses images, et d’explications, d’appréhender de manière simple l’anatomie pulmonaire, afin d’être précis dans la localisation d’une lésion pulmonaire dans le cadre d’un bilan diagnostique, d’un suivi, ou après pneumonectomie. (Slideset Comment examiner une radio du thorax ?) slide 10 Les infiltrats bilatéraux d'apparence pelucheuse sont caractéristiques d'un oedème pulmonaire significatif Ce cliché d'une radiographie thoracique AP en supination provient d'un sujet afébrile présentant une détresse respiratoire grave ;. La séquestration pulmonaire est une malformation congénitale caractérisée par la vascularisation artérielle d'origine systémique d'un segment du poumon Nous décrivons une observation de séquestration pulmonaire traitée par ligature de l'artère anormale sans résection pulmonaire associée.
Radiographie Pulmonaire Postoperatoire L Emphyseme Sous Cutane Download Scientific Diagram
Figure 1 From Leucostase Pulmonaire Au Cours D Une Leucemie Myeloide Chronique De L Enfant A Propos D Un Cas A Yaounde Cameroun Semantic Scholar
Comment Examiner Une Radio Du Thorax Medscape
Radio Pulmonaire のギャラリー
Covid 19 Creation D Une Base De Donnees Nationale De Scanners Thoraciques
Cours Pneumologie Aide A La Lecture D Une Radiographie De Thorax
Radiographie La Radiographie Pulmonaire Normale Portail Video De L Universite De Rouen Normandie
Radio 3 Radiologie Du Thorax Wallah Pneumonie Ma Gueule Flashcards Quizlet
Introduction A La Radio Pulmonaire Youtube
Les Apports De La Radiographie Thoracique Dans La Detection Du Covid 19
Image Radiographie Pulmonaire D Un Patient Presentant Une Cardiomegalie Et Une Cephalisation Edition Professionnelle Du Manuel Msd
Angiostrongylose Pulmonaire Chez Le Chien Vetopedia
Cerf Radiologie Fr Sites Cerf Radiologie Fr Files Enseignement Des Archives Documents 08 lc ep cerf Pdf
Comment Examiner Une Radio Du Thorax Medscape
Radiographie Du Thorax Tuberculose Pulmonaire Etendue Et Bilaterale Download Scientific Diagram
Manifestations Radiologiques De La Tuberculose Pulmonaire Sciencedirect
Pourquoi Votre Sante Ne Sera Peut Etre Plus Jamais La Meme Apres Le Covid 19 c News Afrique
Analyse De La Semiologie Radioclinique Du Kyste Hydatique Pulmonaire Sciencedirect
Une Femme Se Retrouve Avec Un Ecouvillon Coince Dans Un Poumon Apres Un Test Covid 19
Figure 1 From L Hypertension Pulmonaire Une Maladie Rare Sans Options Therapeutiques Semantic Scholar
Quand La Radio Pulmonaire Est Normale Le Quotidien Du Medecin
Inhalation D Un Corps Etranger Dent
Le Cancer Du Poumon Peut Rester En Sommeil Pendant Ans
Semio Radio Thorax
Semio Radio Thorax
Une Femme Developpe Un Cancer Du Poumon Apres Le Don D Organe D Une Grosse Fumeuse
Radiographie Pulmonaire Quel Est L Interet De Cet Examen Medical Jevaismieuxmerci Com
Fibrose Pulmonaire Wikipedia
Q Tbn And9gcqdyjx1lsxmeyu6rz Plngcmn2hwqpv40atd98b4qvcummdzrlb Usqp Cau
Radio 3 Radiologie Du Thorax Wallah Pneumonie Ma Gueule Flashcards Quizlet
La Semiologie De L Imagerie Medicale I 4 2 Syndrome Interstitiel
Diagnostic De Fibrose Pulmonaire Idiopathique
Radiographie Normale De Face Et De Profil Du Thorax Chez L Enfant Sciencedirect
Radio Thorax Normal Youtube
La Radiographie Pulmonaire La Pneumonie Au Burkina Faso Et En France
Cancer Du Poumon Le Depistage Par Radio N Augmente Pas Le Taux De Survie
Article Medicale Tunisie Article Medicale
Le Lymphome Hodgkinien Pulmonaire Primitif Une Localisation Exceptionnelle
Conftube Ecni 48 Radiographie Thoracique Topo Youtube
Comment Examiner Une Radio Du Thorax Medscape
Cancer Du Poumon Symptome Diagnostic Traitement
Exploration D Une Hypertension Pulmonaire Sciencedirect
Q Tbn And9gcr Ln Wqivx9ga2rytu66hi1nwdylbw78lncrngux8rlkt7ezl Usqp Cau
Cancer Du Poumon Le Depistage Par Radio N Augmente Pas Le Taux De Survie
Pneumonie
Methode De Lecture
Poumon Photos Royalty Free Images Graphics Vectors Videos Adobe Stock
La Radiographie
Radio Des Poumons Thorax Paris 18 17 19 9 91 92 93 94 95 Doctolib
Radiographie Pulmonaire Definition Interet Deroulement De L Examen Doctissimo
Etats Unis Double Greffe Des Poumons Sur Une Malade Du Covid 19 Dans Un Etat Desespere Le Parisien
Emphyseme Pulmonaire Une Maladie Respiratoire Mal Connue
Radiographie Pulmonaire Definition Interet Deroulement De L Examen Doctissimo
Td4 Pieges Et Artefacts En Radiologie Thoracique Reponses Youtube
Figure 1 From Extraction D Un Corps Etranger Tracheo Bronchique A L Aide D Un Uretheroscope Semantic Scholar
Concept De Radiographie Pulmonaire Medecin En Photo De Stock Modifier Maintenant
Comment Examiner Une Radio Du Thorax Medscape
Radio Pulmonaire De Face A Lyse Osseuse B Lesion Tumorale Download Scientific Diagram
Exploration Radiologique Du Poumon Medicinus
Images Medicales Iconographie Banque D Images Radiographie Poumon Tuberculose Miliaire Tuberculeuse
Radiologie Grenoble Cimg Radiologie Generale
Concept De Radiographie Pulmonaire Medecin En Photo De Stock Modifier Maintenant
Pneumothorax Radiographie
Radiographie Thoracique Maladiesducoeur
Covid 19 Comment Soigne T On Les Patients Atteints De Formes Graves
Echocardioblog Blog D Echocardiographie Oedeme Pulmonaire Unilaterale Ou Pneumopathie Sans Fievre
Film De Radiographie De La Poitrine D Un Patient Avec L Hypertrophie Ventriculaire Droite Image Stock Image Du Film Patient
Radiographies Des Poumons Non Systematiques La Gazette Du Medecin Du Travail
Oedeme Pulmonaire Clinique Veterinaire Lagardette A Lormont 33 Drs Gasparoux Gouache Vallotton Et Loukine
Infocancer Arcagy Gineco Voies Aeriennes Cancer Du Poumon Depistage Prevention Le Depistage
L Ia Et L Imagerie Medicale Alliees Dans La Lutte Contre La Covid 19 Coronavirus Radio Canada Ca
Q Tbn And9gct Sazj Frjn Pgzvnx1aj8bfvxpjjr0u7p52qvvmyll1r4daf7 Usqp Cau
Q Tbn And9gcrlkiqj48 X5vhoeykmcnnjy2rshluyemskebe8mh1uluqjbiva Usqp Cau
Radiographie Pulmonaire De Face Surcharge Peri Hilaire En Faveur D Un Oap Download Scientific Diagram
Les Apports De La Radiographie Thoracique Dans La Detection Du Covid 19
Radiographie La Radiographie Pulmonaire Normale Portail Video De L Universite De Rouen Normandie
Radiographie Des Poumons Examen Docteurclic Com
Smartfiches Medecine Smartfiches Radiology Radiography Medical
Semio Radio Thorax
Toux Les Examens Complementaires Face A La Toux Doctissimo
8 Les Anomalies A Ne Pas Rater Sur Radio Thorax Dr Astuce Youtube
Smartfiches Medecine Smartfiches Pulmonology Radiology Osteopathy
Http Ferronfred Eu Onewebmedia Radiographie pulmonaire Pdf
Sides Ref Trans Imagerie Multi Items Item 232 Start Wiki Sides
Radio Thorax Face Montrant Une Distension Pulmonaire Et Un Discret Download Scientific Diagram
Bilan De Sante Personnalise Au Centre De Bilan De Sante Du Ciem
Pulmonaire Radiologie Lyon 9
La Radiographie Du Thorax Montre Une Opacite Homogene Bien Limitee De Download Scientific Diagram
Semio Radio Thorax
Pratiques De Prescription De La Radiographie Pulmonaire Chez Les Nourrissons Consultant Aux Urgences Pediatriques Du Chu De Bordeaux Pour Bronchiolite Aigue Semantic Scholar
Radiographies Du Thorax Troubles Cardiaques Et Vasculaires Manuels Msd Pour Le Grand Public
Imagerie Du Thorax Imagerie Du Poumon L Institut De Radiologie De Paris
Semio Radio Thorax
Une Radio Portable Et Multi Energie Veut Transformer Le Depistage Du Cancer Du Poumon Docteur Imago
Sides Ref Trans Imagerie Multi Items Item 306 Start Wiki Sides
Ces Professionnels En Difficulte Face Aux Cancers Du Poumon Nouvelle Cale
Un Nordiste De 58 Ans Atteint De La Covid 19 Recoit Une Double Greffe Des Poumons Une Premiere En France
Radiographie Pulmonaire Definition Deroulement De L Examen Risques Pour La Sante
Diagnostic De La Maladie Pulmonaire Chronique Chez Les Bebes Prematures
Radiographie Wikipedia
Radiographie Pulmonaire De Face Download Scientific Diagram
Comment La Covid 19 S Attaque Aux Poumons Coronavirus Radio Canada Ca
Covid 19 Quelle Est La Precision Diagnostique D Une Imagerie Pulmonaire
Http Splf Fr Wp Content Uploads 15 12 Vmat3 Fraissep Pdf
Maladie Pulmonaire Obstructive Chronique Wikimedica


