Scanner Cerveau
A brain perfusion scan is a type of brain test that shows the amount of blood taken up in certain areas of your brain This can provide information on how your brain is functioning There are several different types of brain perfusion scans Some tests, such as a single photon emission computed tomography (SPECT) or a positron emission (PET.
Scanner cerveau. Scanner m du cerveau liver scan échographie f du foie American English Would you like to translate a full sentence?. During the scan you will lie on a platform which slides into the scanner (a bit like going into a tunnel) It is important to lie still during the scan so that the machine can take clear pictures of your brain An MRI scan is usually a series of short scans with breaks in between, rather than one long scan. Le scanner permet par exemple de suivre l'évolution d'une hémorragie, d'une tumeur L’IRM mieux voir les organes, notamment le cerveau L' IRM (imagerie à résonance magnétique).
Le PET Scan est un examen qui permet d’identifier des lésions tumorales ou de contrôler la réponse au traitement de certains cancers Nous vous proposons de découvrir cette technique d’imagerie médicale qui révolutionne la prise en charge des cancers , par Audrey. The trial will include Cerveau’s MK6240, an investigational imaging biomarker targeting disease progression MK6240 is designed to detect brain protein tau levels by positron emission tomography (PET) scan. On vous a peutêtre dit que vous avez des «taches» sur votre image de résonance magnétique (IRM) du cerveau Certes, les taches peuvent être une source de préoccupation et elles peuvent expliquer les symptômes pour lesquels vous avez subi une IRM cérébrale Cependant, il existe une variété d’explications pour les taches blanches sur une IRM cérébrale, et beaucoup d’entre.
Scanner Lyrics J'comprends pourquoi cette envie d'tout brûler, on a poussé au cœur du magma / Tous les moyens étaient bons pour gruger / Et maman qui jouait le rôle de papa / Montre aucun signe. Whats Web Scan Would you like to open two account in same device or same account in multiple devices then this app for you Now you can use same account in multiple device at this whats clone app New features with this Whats tools app are as follow Status Saver now to save your friend’s status is easy from this app You can save all status in this app. Quelles sont sont les différentes étapes avant, pendant et après l'examen ?.
Cerveau translation in French English Reverso dictionary, see also 'cerveau électronique',lavage de cerveau',rhume de cerveau',cerceau', examples, definition, conjugation. Scanner translation in French English Reverso dictionary, see also 'scander',savonner',scandale',scansion', examples, definition, conjugation. Le terme « cancer du cerveau » désigne des tumeurs cérébrales variées Différents cancers du cerveau Ces tumeurs peuvent se développer dans différents endroits, notamment le cervelet.
Dans un cerveau atteint d'Alzheimer Le cortex se recroqueville et endommage les régions associées à la pensée, à la planification et à la mémoire Le rétrécissement est particulièrement marqué dans l'hippocampe , une région du cortex qui joue un rôle essentiel dans la formation de nouveaux souvenirs. Scan translate scanner, scruter, balayer (du regard), scanner, scruter, parcourir, balayer, scanner, faire un Learn more in the Cambridge EnglishFrench Dictionary. In those with dementia, use of dementia drugs climbed from 63 to 91 percent after a positive PET scan Stopping those drugs after a negative scan happened far more rarely, “a very common dynamic.
During the scan you will lie on a platform which slides into the scanner (a bit like going into a tunnel) It is important to lie still during the scan so that the machine can take clear pictures of your brain An MRI scan is usually a series of short scans with breaks in between, rather than one long scan. BOSTON(BUSINESS WIRE)May 4, Cerveau Technologies Inc today announced a research collaboration with University College London (UCL), a leading UK academic center for the production and application of imaging biomarkers for use in clinical research, that grants the institution the right to manufacture 18 FMK6240, a next generation investigational Positron Emission Tomography (PET. Scan (skăn) v scanned, scan·ning, scans vtr 1 a To look at carefully or thoroughly, especially in search of something;.
A PET scan shows how the brain and its tissues are working Other imaging tests, such as magnetic resonance imaging and computed tomography scans only reveal the structure of the brain How the Test is Performed A PET scan requires a small amount of radioactive material (tracer) This tracer is given through a vein (IV), usually on the inside. Apparu au début des années 1970, le scanner se présente sous la forme d’un arceau et utilise des rayons X "Ceuxci traversent le cerveau du patient et sont récupérés par des capteurs. Dans un cerveau atteint d'Alzheimer Le cortex se recroqueville et endommage les régions associées à la pensée, à la planification et à la mémoire Le rétrécissement est particulièrement marqué dans l'hippocampe , une région du cortex qui joue un rôle essentiel dans la formation de nouveaux souvenirs.
Examine The sailor scanned the horizon for signs of land b To look over quickly or read hastily I scanned the newspaper while eating breakfast 2 Computers To search (stored data) automatically for specific data 3 a To. A CT scan is a safe test for most people but like all medical tests it has some possible risks Your doctor and radiographer make sure the benefits of having the test outweigh these risks Allergic reaction Rarely, people have an allergic reaction to the contrast medium This most often starts with weakness, sweating and difficulty breathing. “Cerveau welcomes this opportunity to continue working with the KU Leuven researchers to understand the application of MK6240 and how it may benefit patients with brain diseases.
Le scanner montre un hématome sousdural frontopariétal droit subaigu (flèches rouges) Sur un scanner non injecté, le sang frais est hyperdense alors que celui plus ancien est hypodense Mais pendant un certain laps de temps le sang est d'aspect isodense comme le parenchyme cérébral, et c'est le cas sur cette image. Scanners montrant la cartographie fonctionnelle du cerveau pour trois types d’activité mentale (émotion, récompense, exécution d’une tâche) sur deux jours différents. Scanner translation in French English Reverso dictionary, see also 'scander',savonner',scandale',scansion', examples, definition, conjugation.
A PET scan shows how the brain and its tissues are working Other imaging tests, such as magnetic resonance imaging and computed tomography scans only reveal the structure of the brain How the Test is Performed A PET scan requires a small amount of radioactive material (tracer) This tracer is given through a vein (IV), usually on the inside. Voiceover A CT scan helps your doctor make a diagnosis, decide about what treatment you need or find out if your treatment is working This type of scan takes a series of xrays and uses a computer to put them together Before your scan you may need to drink either half a litre of water or a type of dye called a contrast medium. Comment pourrions nous utiliser la lumière pour voir au plus profond de notre corps et de notre cerveau ?.
Use our text translation Would you like to add some words, phrases or translations?. 14 juil 19 Découvrez le tableau "Cerveau" de Stephanie Hernandez sur Voir plus d'idées sur le thème cerveau, neurosciences, le cerveau. Les explications en imagesVidéo r.
During the scan you will lie on a platform which slides into the scanner (a bit like going into a tunnel) It is important to lie still during the scan so that the machine can take clear pictures of your brain An MRI scan is usually a series of short scans with breaks in between, rather than one long scan. Neuromarketing scanner le cerveau un reportage de Canal Jimmy Genaro Jace Follow 6 years ago 47 views Neuromarketing scanner le cerveau un reportage de Canal Jimmy Report Browse more videos Playing next Cash investigation Neuromarketing votre cerveau les intéresse / intégrale. Et pour le coup je crois que si l'on scannait le cerveau de notre docteur en herbe, on y découvrirait de vastes zones de bêtise à l'état pur et très inquiétante pour notre système.
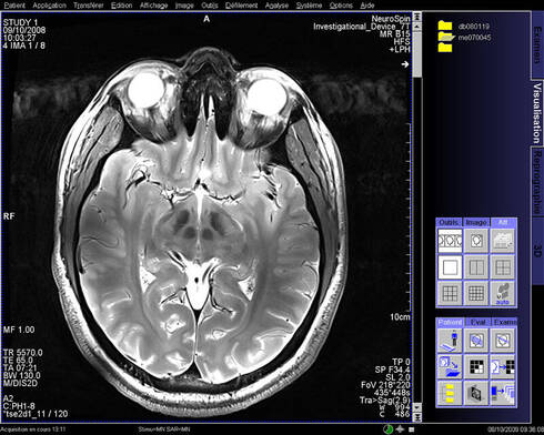
Un scanner cérébral est un examen d'imagerie médicale permettant d'obtenir des images en coupe de la boîte crânienne et des organes qu'elles renferment cerveau, nerfs optiques, nerfs. En fait, pour scanners réalisés avant l'âge de 10 ans, on risque de voir se développer un cas de leucémie et un cas de tumeur cérébrale dus aux rayonnements dans les dix années. 14 juil 19 Découvrez le tableau "Cerveau" de Stephanie Hernandez sur Voir plus d'idées sur le thème cerveau, neurosciences, le cerveau.
Submit a new entry Compile a new entry powered by Free PONS Apps Our free PONS Online Dictionary is also available for iOS and Android!. Cerveau Technologies Inc signed an agreement with the MGH Gordon Center to support multiple projects over the next several years These research projects are for studies of an early stage imaging agent (MK6240) to be used in Positron Emission Tomography (PET) scans for assessing the status and progression of neurofibrillary tangles (NFTs) in the brain. Le scanner cérébral, ou tomodensitométrie cérébrale, est un examen utilisant les rayons qui permet de visualiser de cerveau et d’éventuelles anomalies.
Le scanner a également révélé que le volume des zones ischémiques était supérieur de 47 % à l'échelle du cerveau chez ces mêmes sujets par rapport au reste de la population étudiée, et. Pour un scanner cérébral, le patient est allongé, en général sur le dos, sur un lit qui se déplace automatiquement dans un large anneau Il doit garder les deux bras sont allongés le long du corps et sa tête est immobilisée par une fixation dédiée. In addition to ultrasounds, another scan commonly used in standard cancer diagnosis is a CT scan CT stands for Computed Tomography It's an imaging tool that uses Xray technology to produce scans of the inside of the body.
Ce scanner montre une taille de sillons relativement normale mais des ventricules significativement dilatés titre Un patient est amené au service des urgences après une collision arrière avec un. En fait, pour scanners réalisés avant l'âge de 10 ans, on risque de voir se développer un cas de leucémie et un cas de tumeur cérébrale dus aux rayonnements dans les dix années. 11 janv 15 Imagerie numérisée Voir plus d'idées sur le thème radiologie, radiologie médicale, chambre hôpital.
Examine The sailor scanned the horizon for signs of land b To look over quickly or read hastily I scanned the newspaper while eating breakfast 2 Computers To search (stored data) automatically for specific data 3 a To. The first study to investigate brain activity in sex addicts finds remarkable similarities with scans of people addicted to drugs. Cerveau Technologies, Inc is a partnership between Enigma Biomedical Group, Inc and Sinotau Pharmaceutical Group Cerveau's vision is to globally develop diagnostics and technology that.
The Official Dilbert Website featuring Scott Adams Dilbert strips, animation, mashups and more starring Dilbert, Dogbert, Wally, The Pointy Haired Boss, Alice, Asok, Dogberts New Ruling Class and more. Scan (skăn) v scanned, scan·ning, scans vtr 1 a To look at carefully or thoroughly, especially in search of something;. Brain mechanisms that control human sexual behavior in general, and ejaculation in particular, are poorly understood We used positron emission tomography to measure increases in regional cerebral blood flow (rCBF) during ejaculation compared with sexual stimulation in heterosexual male volunteers Manual penile stimulation was performed by the volunteer's female partner.
There was a wait for the CT scanas Janice was not deemed an urgent case by her GP 3 months later Janice finally had her CT scan So after a full year and a half after she first noticed something funny, and a full year after first expressing her concerns to her doctor, she got her CT scan results back. Dans une série de démos hallucinantes, l'inventeur Mary Lou Jepsen montre comment nous pouvons utiliser la lumière rouge pour voir et stimuler ce qui se trouve à l'intérieur de notre corps et de notre cerveau. Quand estil nécessaire de passer un scanner ?.
L'appareil d'IRM a fait un scanner du cerveau de Léo mais n'a pas trouvé de tumeurs scan n noun Refers to person, place, thing, quality, etc (medical test by machine) ( Médecine, courant ). FOUNDING PARTNERS SUPPORTING PARTNERS Disclaimer;. “Cerveau welcomes this opportunity to continue working with the KU Leuven researchers to understand the application of MK6240 and how it may benefit patients with brain diseases.
Brain mechanisms that control human sexual behavior in general, and ejaculation in particular, are poorly understood We used positron emission tomography to measure increases in regional cerebral blood flow (rCBF) during ejaculation compared with sexual stimulation in heterosexual male volunteers Manual penile stimulation was performed by the volunteer's female partner.
L Uliege Sonde Le Cerveau Avec Une Precision Revolutionnaire Daily Science
Toutes Les Infos Pratiques Sur L Angio Irm Cerebrale Imagerie Medicale
Formation En Scanner Cerebrale Et Rachidien Science Events
Scanner Cerveau のギャラリー
Scanner Ou Irm Des Progres Stupefiants Mais Lequel Choisir
Mediter Empeche De Deprimer La Preuve Par Le Scanner Planete Sante
L Uliege Sonde Le Cerveau Avec Une Precision Revolutionnaire Daily Science
Scanner Du Cerveau Et De La Face Atlas Interactif D Anatomie
Sides Ref Trans Imagerie Dfgsm Chapitre 21 Imagerie Du Systeme Nerveux Central Wiki Sides
Un Scanner Cerebral A Revele Qu Un Universitaire N Avait Pas De Cerveau Sa Tete Etait Pleine D Eau Upsocl
Notre Cerveau Detecte Aussi L Absence D Emotion Sciences Et Avenir
Langage Musique Et Cerveau Les Echos
Accident Vasculaire Cerebral Wikipedia
Encyclopedie Larousse En Ligne Scanner A Rayons X Ou Scanner Rx Ou Tomodensitometre
Utilisation Du Scanner Rayon X Veterinaire Neuilly Sur Seine Paris
L Efficacite De L Intelligence Artificielle Pour Les Diagnostics Medicaux Reste Incertaine Radio Canada Ca
Imagerie Du Cerveau Quels Examens
Le Scanner Cerebral En 4 Questions Sante Magazine
Imagerie Cerebrale Percer Les Mysteres Du Cerveau
Comprendre Les Resultats De Votre Scanner Cerebral Soignez Vous
Imagerie Moleculaire Poitiers Examens De Neurologie
1
Scanner Cerebral But Et Deroulement Ooreka
Urgences Pediatriques Hopital Trousseau Scanner
Les Scientifiques Peuvent Desormais Evaluer Votre Intelligence En Scannant Votre Cerveau
Scanner Cerebral Avec Ou Sans Injection Definition Deroulement Et Risques
Vers Une Neuro Societe Tout Peut Il S Expliquer Par L Imagerie Cerebrale
Pistolet A Clou Realites Biomedicales
Imagerie Moleculaire Poitiers Examens De Neurologie
Tomodensitometrie Tdm Dans Les Troubles Neurologiques Troubles Neurologiques Edition Professionnelle Du Manuel Msd
Covid 19 Quand Le Virus Nous Prend La Tete Aussi Sante Log
Photo Libre De Droit De Cerveau Scanner A Resonance Magnetique Banque D Images Et Plus D Images Libres De Droit De Anatomie Istock
Coronavirus Un Rapport De L Academie De Medecine Recommande Un Scanner Cerebral
Tumeurs Du Cerveau Definition Symptomes Traitements Sciences Et Avenir
Diaporama Le Scanner Cerebral Sans Injection Medscape
Tout Savoir Sur Le Scanner Cerebral Et Rachidien
Scanner Cerebral Definition Et Deroule De L Examen Doctissimo
Collection Des Maladies Du Cerveau Scanner Et Irm Du Cerveau Montrer L Infarctus Cerebral Hemorragie Intracerebrale Tumeur Cerebrale Le Ganglion Basal Hemorragie Etat Apres Craniotomie Concept De Soins De Sante Banque D Images Et
Stenose Carotidienne Examen Du Cerveau Par Irm Ou Scanner
La Perte De Memoire Pourrait Etre Due A Des Avc Silencieux
Images Medicales Iconographie Banque D Images Metastases Cerebrales Contraste En Cocarde Scanner Irm Cerveau
Alcoolisme Quelles Sont Les Regions Du Cerveau Qui Recuperent Apres Une Periode D Abstinence
Cette Image Ne Montre Pas L Explosion De L Hormone De L Amour Dans Le Cerveau Factuel
Hemorragie Cerebrale Maladie Des Points Blancs
Ii Techniques D Imagerie Modernes Du Cerveau
Insolite Un Scanner Du Cerveau Pour Detecter Les Crimine Top Sante
2 484 Photos Et Images De Cancer Du Cerveau Getty Images
Scanner Cerebral Examen Docteurclic Com
Imagerie Du Cerveau Et De La Moelle Epiniere L Institut De Radiologie Paris
Q Tbn And9gcs90yrbrlgd Ckdp Anvc3tkdqzq7zj5b6dwnbjkpvtgthd6kjh Usqp Cau
Diaporama Le Scanner Cerebral Sans Injection Medscape
Des Metamateriaux Pour Des Irm Du Cerveau Plus Precises
A Present Examinons Son Scanner Voici Son Cerveau Ca Va Saigner
Stenose Carotidienne Examen Du Cerveau Par Irm Ou Scanner
Scanner Cerebral Et Rachidien Sante Au Quotidien Sante Avec Mnh Tendances Sur Orange Fr
Scanner Cerebral Imagerie Medicale
Les Cancers Du Cerveau
Atlas Anatomie Scanner Du Cerveau
Le Role Du Scanner Cerebral A La Phase Aigue De L Avc Docteur Imago
Photo Libre De Droit De Cerveau Scanner A Resonance Magnetique Banque D Images Et Plus D Images Libres De Droit De Anatomie Istock
Atlas Anatomie Scanner Tomodensitometrie Du Cerveau Sofiotheque
Scanner Cerebral Banque D Image Et Photos Alamy
Irm Et Scanner Cerebral Quelles Differences Images Delles
Scanner Cerebral Definition Et Deroule De L Examen Doctissimo
John Libbey Eurotext Sang Thrombose Vaisseaux Voir Le Cerveau Souffrir
Irm Clinique Beni M Haffeur
Atlas Tdm Cerveau
Il Retrouve D Un Coup Tous Les Souvenirs Collectes Pendant Ses Amnesies Slate Fr
Grascanner Scanner
Scanner Du Cerveau Hemorragies Intracerebrales Banque D Images Et Photos Libres De Droits Image
Scanner Cerebral A Lyon Examen D Imagerie Norimagerie
Tapis De Souris Ordinateur Bloc Notes Bureau Scanner Resonance Magnetique Irm Du Cerveau Radiographie Enfant A La Maison Ecole Jeu Joueur Ordinateur Travailleur Amazon Fr High Tech
Des Scans Cerebraux Pour Predire Le Succes D Une Psychotherapie Slate Fr
Scanner Irm Radio Quel Examen Pour Quelle Indication
Irm Cerebrale Realites Biomedicales
Scanner Du Cerveau Et La Base Du Crane Fenetre Osseuse Banque D Images Et Photos Libres De Droits Image
Le Scanner Cerebral Ameliore Grandement Le Diagnostic Precoce De L Alzheimer Actualite Le Journal Du Medecin Com
Thrombophlebite Cerebrale Hopital Paris Saint Joseph
Ii Techniques D Imagerie Modernes Du Cerveau
Scanner Cerebral Et Rachidien Qu Est Ce Que C Est Fiches Sante Et Conseils Medicaux
Scanner Du Cerveau Et De La Face Atlas Interactif D Anatomie
Scanner Cerebral Youtube
Track Sla Reussi En Mesurant L Inflammation Du Cerveau En Utilisant Le Tep Scan Et Le Biomarqueur Ligue Sla Belgique Asbl
Des Calcifications Cerebrales Liees Au Tabagisme Et Au Diabete
Scanner Cerebral Tomodensitometrie Du Cerveau Avec E Sante Be E Sante
Atlas Tdm Cerveau
Angioscanner Cerebral Imagerie Medicale
Scanner Cerebral Que Voit On Comment Le Lire
Scanner De Mon Cerveau Le 24 Juillet 13 Jean Luc Poussin Strasbourg Youtube
Covid 19 Anomalie Du Cerveau A L Irm Chez Une Patiente Avec Perte De L Odorat Realites Biomedicales
Imagerie Du Cerveau Et De La Moelle Epiniere L Institut De Radiologie Paris
Je Souhaite Comprendre Les Termes De Mon Compte Rendu D Irm Questions Frequentes Une Question En Sante Cite De La Sante Lieux Ressources Au Programme Cite Des
Les Examens Artc
Imagerie Du Cerveau Et De La Moelle Epiniere L Institut De Radiologie Paris
Cabinet De Radiologie Dr Djeghri 71 Photos Radiologist Route De Bouhdid N 14 Plaine Ouest 2 En Face De La Clinique Aboumarwan Annaba Annaba Algeria
Imagerie Par Resonance Magnetique Wikipedia
Scanner Du Cerveau Et De La Face Atlas Interactif D Anatomie
Q Tbn And9gcqtsm 4wnsl25hoadnydo6lrrofjybrdt768tkmolrvhodnuxbx Usqp Cau
Quand Une Tumeur Du Cerveau Entraine Hyper Religiosite Et Psychose Realites Biomedicales
Un Scanner Cerebral Pour Extrapoler Les Images Vues Ou Imaginees Curiologie
Images Medicales Iconographie Banque D Images Metastases Cerebrales Contraste En Cocarde Scanner Irm Cerveau
Encyclopedie Larousse En Ligne Scanner Du Cerveau
Comprendre Les Resultats De Votre Scanner Cerebral Soignez Vous
A Gauche Scanner Cerebral Montrant Un Large Oedeme Parietal Gauche A Download Scientific Diagram


