Sclerose Hippocampique
Sclérose hippocampique Aucun résultat ne correspond à votre recherche La Revue Je m'abonne Consulter de 80 numéros Vidéos à la Une Encéphalites le retour de la clinique Jérôme Honnorat Estce que la façon dont on annonce le traitement de deuxième ligne à un patient parkinsonien est importante ?.
Sclerose hippocampique. Le mécanisme de la sclérose hippocampique reste obscur Si l’on tient compte de la localisation électivement temporale, de l’association fréquente à des crises fébriles de l’enfance, il est logique de faire jouer un rôle à l’anoxie cérébrale Le délai de plusieurs années avant l’apparition des crises semble correspondre à. L´épilepsie temporale mésiale avec sclérose hippocampique pharmacorésistante est un traitement de référence depuis plus de 30 ans Cette efficacité a été confirmée récemment dans deux études contrôlées nordaméricaines Néanmoins, différentes approches chirurgicales ont été décrites. Les résultats à long terme (un an) suggèrent une absence de crises chez 5080% des patients avec sclérose hippocampique et 3575% dans les épilepsies lésionnelles extratemporales, 8 les résultats étant un peu moins bons en cas d’absence de lésion.
Sclérose hippocampique Aucun résultat ne correspond à votre recherche La Revue Je m'abonne Consulter de 80 numéros Vidéos à la Une Encéphalites le retour de la clinique Jérôme Honnorat Estce que la façon dont on annonce le traitement de deuxième ligne à un patient parkinsonien est importante ?. Mesial temporal sclerosis (MTS), also commonly referred to as hippocampal sclerosis, is the most common association with intractable temporal lobe epilepsy (TLE) 2,3,5It is seen in up to 65% of autopsy studies, although significantly less on imaging. • SYND DE WEST / spasmes en flexion.
Une épilepsie du lobe temporal mésiale avec sclérose hippocampique gauche, une épilepsie du lobe temporal mésiale avec sclérose hippocampique droite, une épilepsie généralisée idiopathique (génétique), divers soustypes moins communs de la maladie, formant le 4è groupe. Sclérose hippocampique, mémoire visuelle et langage La deuxième étude, menée également à l’Université de São Paulo montre, toujours chez des patients atteints de sclérose hippocampique, que la réduction de densité des cellules dans certaines zones de l’hippocampe peut être liée à des déficits de mémoire à court et à long terme Les chercheurs évaluent ici la mémoire et le langage chez 72 patients atteints, préchirurgie, puis examinent des échantillons de tissus. • Lésion = SCLÉROSE HIPPOCAMPIQUE • Ado, ATCD CCH complexes • Crise • Gène épigastrique ascendante initiale • Arrêt fixité du regard • Automatismes oroalimentaires • Automatismes gestuels simples • EEG pointes temporales • Pharmacorésistance EG symptomatiques GRAVES!.
• sclérose hippocampique • MCLewy • grain argyrophile Cha J Autres examens Imagerie fonctionnelle. Souvent suite à crise convulsive hyperthermique. De ce fait, deux démarches sont concevables dans cette approche analytique des données fournies par l’IRM cérébrale 1) l’évaluation tridimensionnelle de l’atrophie hippocampique ;.
Sclérose hippocampique Rechercher par type de contenu Sélectionner un type de contenu Articles Compterendu de congrès Auteurs Congrès Images Vidéos Podcasts Blogs Ejournal Diaporama Flash infos Éditions spéciales Interview d’experts Émissions spéciales AD. La sclérose en plaques est une maladie neurodégénérative autoimmune qui affecte le système nerveux central en détruisant la myéline (gaine de protection et de conduction de l’information nerveuse autour des neurones) Cette maladie est la première cause de handicap neurologique chez les jeunes Il en existe plusieurs formes. 2) l’étude visuelle semiquantitative de l’atrophie du LTM, en recourant à un score de 0 à 4, selon sa gravité (0=absence ;.
Atrophie hippocampique (Scheltens) Chargement JPEG DICOM Anamnèse Evaluation de l’atrophie hippocampique (atrophie temporale médiale) dans la maladie d’Alzheimer sur une IRM coronale T1 Score Largeur de la fissure choroïdienne Largeur de la corne temporale Hauteur de la formation hippocampique 0 N N N 1. Ainsi la sclérose hippocampique qui était une donnée postopératoire de bon pronostic est devenue, grace à l’IRM, une donnée préopératoire de grande valeur En effet ce type d’anomalie est caractéristique du foyer épileptique luimême. Résumé d’article Résumé d’article Bref résumé d'une publication récente, réalisé par des rédacteurs scientifiques L’imagerie révèle un profil d’atrophie distinct de la sclérose de l’hippocampe liée au vieillissement.
Sclérose en plaques et maternité "on peut toutes être mamans" Onze femmes atteintes de Sclérose En Plaques ont accepté de témoigner de leur maladie et de leur envie de donner la vie Persévérantes, combatives et courageuses, elles livrent un message d'espoir à toutes celles qui veulent avoir un enfant. Les études en imagerie montrent que l’existence d’une atrophie hippocampique est prédictive de l’évolution de ces patients vers une démence de type Alzheimer Le taux d’atrophie varie de 3 à 6% par année chez les patients atteints de MA alors qu’il est limité à 03 – 22% dans la population âgée normale. Sous un terme médical tel que «sclérose hippocampique», les spécialistes comprennent l'une des formes de pathologie épileptique causée par des dommages au système limbique du cerveau La maladie est également connue sous le nom de sclérose temporale mésiale.
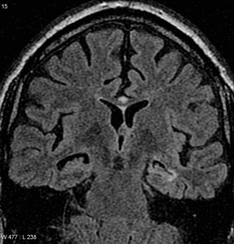
Sclérose hippocampique associée à l’épilepsie La sclérose hippocampique associée à l’épilepsie (SHAE) est la cause la plus fréquente d’épilepsie pharmacorésistante 2 , 3 La physiopathologie en reste mal comprise et repose probablement sur des mécanismes différents selon les patients 4. L´épilepsie temporale mésiale avec sclérose hippocampique pharmacorésistante est un traitement de référence depuis plus de 30 ans Cette efficacité a été confirmée récemment dans deux études contrôlées nordaméricaines Néanmoins, différentes approches chirurgicales ont été décrites. Sclérose hippocampique IRM cérébrale (coupe T2 sur les hippocampes) hypersignal T2, perte des digitations hippocampiques et diminution de la hauteur de l’hippocampe droit Hippocampe gauche normal.
En 2 mots lorsque l'épilepsie prend son origine dans l'hippocampe et qu'elle résiste aux traitement médicamenteux, elle peut être traitée efficacement par la résection de l'hippocampe et des structures adjacentes ;. La sclérose hippocampique N EchCherif El Kettani ⁎ , MR El Hassani, H Benchaaboun, N Chakir, M Jiddane Service de neuroradiologie, hôpital des Spécialités, CHU Ibn Sina, université Mohamed V – Souissi, Rabat, Maroc. Les résultats à long terme (un an) suggèrent une absence de crises chez 5080% des patients avec sclérose hippocampique et 3575% dans les épilepsies lésionnelles extratemporales, 8 les résultats étant un peu moins bons en cas d’absence de lésion.
15 patients présentant une sclérose hippocampique Chez les 15 patients ayant une sclérose hippocampique, la diminution du rapport NAA/Ins a permis de préciser de façon formelle le côté atteint de la sclérose hippocampique chez 7 patients sur 15 Chez 15 patients avec épilepsie temporale sans image à l’IRM. La sclérose hippocampique, les nouveaux développements en EEG), avec des sessions indépendantes dédiées aux infirmières et techniciens, aux neurologues libéraux et aux jeunes neurologues Deux sessions seront aussi consacrées au Centre de référence Épilepsies rares Les associations seront présentes Cette année, pour la première. Request PDF On Dec 1, 10, N EchCherif El Kettani and others published La sclérose hippocampique Find, read and cite all the research you need on ResearchGate.
IRM aspect de sclérose hippocampique unilatérale (figure 157) Pronostic mauvais, avec pharmacorésistance fréquente mais accessible alors à un traitement chirurgical qui permet la guérison dans 70 % des cas D Diagnostic étiologique Les crises épileptiques sont des symptômes Les étapes diagnostiques comportant une description. Introduction Hippocampal sclerosis is the most common cause of pharmacoresistant epilepsy amenable for surgical treatment and seizure control The aim of this article is to review and evaluate the published literature related to the outcome of the surgical treatment of mesial temporal lobe epilepsy (MTLE) associated with hippocampal sclerosis (HS) and to describe the future prospects in this. De ce fait, deux démarches sont concevables dans cette approche analytique des données fournies par l’IRM cérébrale 1) l’évaluation tridimensionnelle de l’atrophie hippocampique ;.
Sclérose latérale amyotrophique Définition La sclérose latérale amyotrophique (SLA) est une maladie neurodégénérative caractérisée par une paralysie musculaire progressive due à une dégénérescence des motoneurones du cortex moteur primaire, de la voie corticospinale, du tronc cérébral et de la moelle épinière. Le temps de propagation interhémispherique a été trouvé significativement plus long (> secondes) chez les sujets chez lesquels une sclérose hippocampique avait été diagnostiquée que chez ceux qui n'en avaient pas Une analyse quantitative des densités cellulaires a été effectuée chez 28 patients. Cependant, on ne sait pas clairement si l’épilepsie apparaît à la suite d’une sclérose hippocampique ou de crises répétées endommageant l’hippocampe Cela signifie qu’il n’est pas encore clair que les lésions de l’hippocampe soit une cause ou une conséquence de crises récurrentes.
Les études en imagerie montrent que l’existence d’une atrophie hippocampique est prédictive de l’évolution de ces patients vers une démence de type Alzheimer Le taux d’atrophie varie de 3 à 6% par année chez les patients atteints de MA alors qu’il est limité à 03 – 22% dans la population âgée normale. Request PDF On Dec 1, 10, N EchCherif El Kettani and others published La sclérose hippocampique Find, read and cite all the research you need on ResearchGate. 1 ère cause épilepsie partielle pharmacorésistante adulte/enfant (50/70%);.
Hippocampe normal et pathologique en IRM 15 Tesla E SIBILEAU, S EL RAI, JY TANGUY, C NEDELCU, S ABIKHALIL, B DELORME, D LOISEL, CAUBE CHU Angers OBJECTIFS Connaître l’essentiel de l’anatomie de l’hippocampe et du système limbique. Il s’agit d’un organe de petite taille situé dans le lobe temporal (approximativement derrière chaque tempe), qui communique avec différentes zones du cortex cérébral dans se qui est connu comme “le système hippocampique” L’hippocampe est reconnu comme la structure principale de la mémoire. Quant à l’épilepsie familiale du lobe temporal, il s’agit d’une condition génétique qui comporte un héritage autosomal dominant La sclérose temporale mésiale est une condition qui provoque le rétrécissement de la région temporale mésiale, de l’hippocampe, de l’amygdale et de l’uncus sur lesquels il peut.
Il s’agit d’un organe de petite taille situé dans le lobe temporal (approximativement derrière chaque tempe), qui communique avec différentes zones du cortex cérébral dans se qui est connu comme “le système hippocampique” L’hippocampe est reconnu comme la structure principale de la mémoire. Sclérose hippocampique Tumeurs Malformation vasculaire Lésions séquellaires Anomalies de développement cortical Autres Conclusion INTRODUCTION L'épilepsie décharges excessives des neurones Causes diverses crises spontanés récurrentes d’aspect clinique. Ainsi la sclérose hippocampique qui était une donnée postopératoire de bon pronostic est devenue, grace à l’IRM, une donnée préopératoire de grande valeur En effet ce type d’anomalie est caractéristique du foyer épileptique luimême.
L'hippocampe est une petite zone du cerveau Il joue un rôle crucial dans la mémoire spatiale et la mémoire que l'on a des événements passés L'hippocampe est aussi un marqueur précoce de la maladie d'Alzheimer Le point avec Gaëlle Chételat, directrice de recherche à l'Inserm et spécialiste de l'imagerie cérébrale. Feuillets de Radiologie Vol 50 N° 6 p La sclérose hippocampique EMconsulte. Définition L'atrophie hippocampique désigne une diminution de la taille des hippocampes, de petites structures situées au niveau du cerveauCes structures jouent un rôle important dans le sens de l'orientation et dans la cognition ()Chez les patients atteints de la maladie d'Alzheimer, l'hippocampe est une des premières parties touchéesC'est pourquoi les malades perdent peu à peu la.
Mieux visible en 1,5 Tesla, à opérer;. Cependant, l'AK est devenu plus populaire lorsque ) ont validé que le modèle induit par injection intrahippocampique d'AK conduisait à une lésion de sclérose hippocampique très localisée. Les critères de diagnostic de sclérose hippocampique en FSE T2 et en FLAIR étaient une diminution de la taille de l'hippocampe et un hypersignal hippocampique 8, 10 Les IRM ont été revues indépendamment par deux observateurs.
Sclérose hippocampique Imagerie cérébrale Pronostic 1 Introduction Mesial or Medial TLE (MTLE) is an epileptic disorder conceptualized as the recurrence of focal seizures originating from a network which is discretely localized along the mesial aspect of the temporal lobe, including mainly the hippocampus and the amygdala, and possibly. évidence une sclérose mésiale avec atrophie hippocampique droite et dysgénésie hippocampique gauche (verticalisation du sillon collatéral) D Vide de signal frontal droit correspondant à un cavernome (séquence axiale T2*) Abréviations. En premier lieu, cela vaut pour le type le plus commun des dommages neuropathologique sclérose hippocampique ou la sclérose mésiale temporelle, dans laquelle il y a perte de neurones dans l'hippocampe des structures spécifiques, le traitement de l'information et de contrôle de la mise en forme et de la mémoire épisodique à long terme.
La sclérose en plaques est une maladie neurodégénérative autoimmune qui affecte le système nerveux central en détruisant la myéline (gaine de protection et de conduction de l’information nerveuse autour des neurones) Cette maladie est la première cause de handicap neurologique chez les jeunes Il en existe plusieurs formes. Fiche de cours Sclérose hippocampique temporale mésiale Partager Note Fiche de cours mise à jour le 18/04/17 à 0715 Voir tous les cas RADEOS associés à cette fiche de cours Définition Perte neuronale associée à une gliose de la région mésiotemporale. La sclérose de l'hippocampe présente des symptômes spécifiques et des causes de développement Il est lié à une pathologie clé telle que l'épilepsie L'essence du processus pathologique Avec le développement de la sclérose, les organes non affectés et les tissus mous sont remplacés par un tissu conjonctif à structure dense.
La sclérose de l'hippocampe est une affection neurologique caractérisée par une grave perte de cellules nerveuses (ou neurones) et par un processus de gliose affectant une partie spécifique du lobe temporal du cerveau, appelée hippocampe Actuellement, les causes précises de la sclérose hippocampique ne sont pas claires. IRM aspect de sclérose hippocampique unilatérale (figure 157) Pronostic mauvais, avec pharmacorésistance fréquente mais accessible alors à un traitement chirurgical qui permet la guérison dans 70 % des cas D Diagnostic étiologique Les crises épileptiques sont des symptômes Les étapes diagnostiques comportant une description. Cette sclérose hipppocampique (SH) peut être associée à des lésions de pathologies dégénératives caractérisées, comme celles de la maladie d‘Alzheimer (MA), ou être isolée et dépourvue de tout signe histopathologique distinctif Le diagnostic clinique qui avait été porté dans les cas de SH « pures » était celui de MA.
La sclérose de l'hippocampe est une affection neurologique caractérisée par une grave perte de cellules nerveuses (ou neurones) et par un processus de gliose affectant une partie spécifique du lobe temporal du cerveau, appelée hippocampe Actuellement, les causes précises de la sclérose hippocampique ne sont pas claires. 2) l’étude visuelle semiquantitative de l’atrophie du LTM, en recourant à un score de 0 à 4, selon sa gravité (0=absence ;. Cependant, on ne sait pas clairement si l’épilepsie apparaît à la suite d’une sclérose hippocampique ou de crises répétées endommageant l’hippocampe Cela signifie qu’il n’est pas encore clair que les lésions de l’hippocampe soit une cause ou une conséquence de crises récurrentes.
Une épilepsie du lobe temporal mésiale avec sclérose hippocampique gauche, une épilepsie du lobe temporal mésiale avec sclérose hippocampique droite, une épilepsie généralisée idiopathique (génétique), divers soustypes moins communs de la maladie, formant le 4è groupe. La sclérose de l'hippocampe présente des symptômes spécifiques et des causes de développement Il est lié à une pathologie clé telle que l'épilepsie L'essence du processus pathologique Avec le développement de la sclérose, les organes non affectés et les tissus mous sont remplacés par un tissu conjonctif à structure dense. Anatomiquement, l’hippocampe est une élaboration des bords du cortex cérébral 4Les structures qui composent les bords intérieurs du cortex font partie du système limbique (du latin « limbus » = bords) cela inclut l’hippocampe, le cortex cingulaire, le cortex olfactif et l’amygdale (cerveau)Il a longtemps été suggéré que ce système limbique constituait la base neuronale.
Sclérose hippocampique Sclérose de la corne d’Ammon = sclérose temporale mésiale;. Il est cependant indispensable de s'assurer de la localisation du point de départ de la crise bonne corrélation entre mises, EEG et. Sclérose hippocampique = atrophie hypersignal T2/FLAIR « Human hippocampus » Duvernoy.
Www Researchgate Net Profile Roberto Nogueira Publication Departements De Radiologie Anomalies De Signe Du Pole Temporal Dans La Sclerose Hippocampique Utilisant La Sequence Flair Links 54bcf269d8cbf67eb9 Pdf Origin Publication List
Www Sciencedirect Com Science Article Pii S Pdf Md5 c9f9c69ed55c49f980e045fb6ae8a3 Pid 1 S2 0 S Main Pdf
Vieillissement Cerebral Et Maladie D Alzheimer Jean Jacques Hauw
Sclerose Hippocampique のギャラリー
2
Nanopdf Com Download Hippocampe Normal Et Pathologique En Irm 15 Tesla Pdf
Http Www Chups Jussieu Fr Polys Eia Neuro Cortex Eia Pdf
Www Sciencedirect Com Science Article Pii S Pdf Md5 c9f9c69ed55c49f980e045fb6ae8a3 Pid 1 S2 0 S Main Pdf
Le Lobe Temporal Epilepsies Et Demences Ppt Video Online Telecharger
Http Www Fondation Epilepsie Fr Wp Content Uploads 17 02 Power Point Colloque 17 Pdf
Atrophie Hippocampique Consequence Liens Avec Alzheimer Traitement
A Epilepsie Du Lobe Temporal Hypometabolisme Intercritique Fdg Tep Download Scientific Diagram
Www Sfmn Org Drive Congres Jfmn 17 nantes Presentations Inscritjfmn Session Membreweb Membresfmn o 19 apports de l Imagerie tau et amylo C3 Afde par tep dans la maladie d E2 80 99alzheimer d C3 butante et l E2 80 99amn C3 sie progressive non li C3 e C3 A0 une ma m bottlaender Pdf
John Libbey Eurotext Epilepsies Chirurgie De L Epilepsie Du Lobe Temporal Un Protocole Non Invasif D Evaluation Prechirurgicale Une Experience Marocaine
Place De La Chirurgie Dans Le Traitement De L Epilepsie Temporale Chez L Adulte Academie Nationale De Medecine Une Institution Dans Son Temps
Http Www Sarim Org File 19c19 21 Anxionnat Pdf
Http Association Gens Free Fr Neurologia Revues neuro articles Epilepsie pertes connassance Tchirurgie epilepsie 01 dossier 3 Pdf
Jfr 10 L Imagerie De La Maladie D Alzheimer En Pratique Clinique
Anomalies De Signe Du Pole Temporal Dans La Sclerose Hippocampique Utilisant La Sequence Flair Pdf Telechargement Gratuit
Epilepsie Pinkybone
Jim Fr Equivalence Des Deux Approches Chirurgicales Dans L Epilepsie Temporale Refractaire
Http Psychologie Univ Fcomte Fr Download Section Psychologie Document Pdf Corne Etal13 Pdf
Sclerose Hippocampique Chez Un Patient Atteint D Emlt Coupes Frontales Download Scientific Diagram
Http Www Theses Fr 10aix696 Pdf
Sclerose Hippocampique Imaging Consult
Http Ao Um5 Ac Ma Xmlui Bitstream Handle M Pdf Sequence 1 Isallowed Y
Cas De La Semaine Du 01 10 13 Clinique Universitaire De Neuroradiologie Et Irm Cluni
Epilepsie Pinkybone
Fiche Radeos Sclerose Hippocampique Necrose Corticale Laminaire Leucomalacie
Tous Les Cas Cliniques Et E Learning En Radiologie Et Imagerie Medicale De Radeos
Hippocampe Son Role Dans Le Cerveau Neuromedia
France3 Regions Francetvinfo Fr Grand Est Sites Regions France3 Files Assets Documents Livret Des Abstracts Jfenancy Light 0 Pdf
Cas De La Semaine Du 01 10 13 Clinique Universitaire De Neuroradiologie Et Irm Cluni
Sclerose Hippocampique
Troubles Du Langage Chez Les Enfants Porteurs D Anomalies Morphologiques De L Hippocampe Sciencedirect
Semah016 Jpg
Cerf Radiologie Fr Sites Cerf Radiologie Fr Files Files Enseignement Pdf 06 galanaud Exploration Crise Convulsive Des Module Urgences 18 12 Pdf
Http Www Fondation Epilepsie Fr Pdf Recherches Et Perspectives Pdf R P Nov07 3 Pdf
Cas De La Semaine Du 01 10 13 Clinique Universitaire De Neuroradiologie Et Irm Cluni
Www Sfmn Org Drive Congres Jfmn 17 nantes Presentations Inscritjfmn Session Membreweb Membresfmn o 19 apports de l Imagerie tau et amylo C3 Afde par tep dans la maladie d E2 80 99alzheimer d C3 butante et l E2 80 99amn C3 sie progressive non li C3 e C3 A0 une ma m bottlaender Pdf
Epilepsies De L Enfant Et De L Adulte College Des Enseignants De Neurologie
Fiche Radeos Sclerose Hippocampique Droite Irm
Cerf Radiologie Fr Sites Cerf Radiologie Fr Files Files Enseignement Pdf 06 galanaud Exploration Crise Convulsive Des Module Urgences 18 12 Pdf
Mesial Temporal Sclerosis Radiology Case Radiopaedia Org
Sclerose Hippocampique Gauche Pinkybone
Sclerose Hippocampique Gauche Pinkybone
Detection Of Partial Loss Of Hippocampal Striation At 1 5 Tesla Magnetic Resonance Imaging Insights Into Imaging Full Text
Fiche Radeos Sclerose Hippocampique
2
Hippocampe Normal Et Pathologique E Sibileau S El Rai J Y Tanguy C Nedelcu S Abikhalil B Delorme D Loisel C Pdf Telechargement Gratuit
Cours De Neuro Imagerie S Chanalet 235 Epilepsie Definitions 2 Niveaux New Dehli Epilepsies Liees A Une Localisation Ou Partielles Ou Focales Ppt Telecharger
Sclerose Hippocampique Imaging Consult
Cerf Radiologie Fr Sites Cerf Radiologie Fr Files Files Enseignement Pdf 06 galanaud Exploration Crise Convulsive Des Module Urgences 18 12 Pdf
Hyperperfusion Ictale De La Partie Anteromesiale Du Lobe Temporal Chez Download Scientific Diagram
Www Sciencedirect Com Science Article Pii S Pdf Md5 c9f9c69ed55c49f980e045fb6ae8a3 Pid 1 S2 0 S Main Pdf
L Atrophie Du Lobe Temporal Mesial Detectee Par Irm En Tant Que Biomarqueur De La Maladie D Alzheimer Revue Medicale Suisse
Www Theses Fr 17sacls393 Pdf
Tous Les Cas Cliniques Et E Learning En Radiologie Et Imagerie Medicale De Radeos
Revues Imist Ma Index Php Ameej Article Download 3593 2619
Cas De La Semaine Du 01 10 13 Clinique Universitaire De Neuroradiologie Et Irm Cluni
Place De La Chirurgie Dans Le Traitement De L Epilepsie Temporale Chez L Adulte Academie Nationale De Medecine Une Institution Dans Son Temps
Troubles Du Langage Chez Les Enfants Porteurs D Anomalies Morphologiques De L Hippocampe Sciencedirect
Http Psychologie Univ Fcomte Fr Download Section Psychologie Document Pdf Corne Etal13 Pdf
Sclerose Hippocampique Objectivee Par Irm Coupe Coronale Observee En Download Scientific Diagram
Epilepsie Pinkybone
Chirurgie De L Epilepsie L Approche Curative Revue Medicale Suisse
Sclerose Hippocampique Hippocampal Sclerosis Qaz Wiki
Troubles Cognitifs Du Sujet Age College Des Enseignants De Neurologie
Www Jaccrafrica Com Gallery Camara a et al jaccr africa Pdf
Cerf Radiologie Fr Sites Cerf Radiologie Fr Files Files Enseignement Pdf 06 galanaud Exploration Crise Convulsive Des Module Urgences 18 12 Pdf
Sclerose Hippocampique Imaging Consult
John Libbey Eurotext Psychologie Neuropsychiatrie Du Vieillissement Sclerose Hippocampique Et Demences
John Libbey Eurotext Geriatrie Et Psychologie Neuropsychiatrie Du Vieillissement Imagerie Structurelle Par Resonance Magnetique Des Demences Lobaires Frontotemporales
Chirurgie De L Epilepsie L Approche Curative Revue Medicale Suisse
Http Www Fondation Epilepsie Fr Wp Content Uploads 17 02 Power Point Colloque 17 Pdf
Http Association Gens Free Fr Neurologia Revues neuro articles Examens complementaires Imagerie irm tdm Irm malformations corticales developpement Pdf
Pdf Departements De Radiologie Anomalies De Signe Du Pole Temporal Dans La Sclerose Hippocampique Utilisant La Sequence Flair Roberto Nogueira Henrique Carrete And Nitamar Abdala Academia Edu
Www Sfmn Org Drive Congres Jfmn 17 nantes Presentations Inscritjfmn Session Membreweb Membresfmn o 19 apports de l Imagerie tau et amylo C3 Afde par tep dans la maladie d E2 80 99alzheimer d C3 butante et l E2 80 99amn C3 sie progressive non li C3 e C3 A0 une ma m bottlaender Pdf
Hippocampe Cerveau Wikipedia
1
Eeg De Scalp Lors D Une Crise Enregistrement D Une Crise Partielle Download Scientific Diagram
Http Www Michel Lewin Be Styled 4 Blog 48 Blog 49 Files J Radiol 06 Cottier005bcortical Malformations And Epilepsy Role Of Mr Imaging005d Copie Pdf
Ma Bibliotheque En Imagerie Medicale Sclerose Hippocampique
Place De La Chirurgie Dans Le Traitement De L Epilepsie Temporale Chez L Adulte Academie Nationale De Medecine Une Institution Dans Son Temps
Hippocampe Cerveau Wikipedia
Cerf Radiologie Fr Sites Cerf Radiologie Fr Files Files Enseignement Pdf 06 galanaud Exploration Crise Convulsive Des Module Urgences 18 12 Pdf
Http Psychologie Univ Fcomte Fr Download Section Psychologie Document Pdf Corne Etal13 Pdf
Cerf Radiologie Fr Sites Cerf Radiologie Fr Files Files Enseignement Pdf 06 galanaud Exploration Crise Convulsive Des Module Urgences 18 12 Pdf
Cerf Radiologie Fr Sites Cerf Radiologie Fr Files Files Enseignement Pdf 06 galanaud Exploration Crise Convulsive Des Module Urgences 18 12 Pdf
Sclerose Hippocampique Gauche Pinkybone
Www Jaccrafrica Com Gallery Camara a et al jaccr africa Pdf
Http Www Sfrnet Org Rc Org Sfrnet Htm Article 14 729 Src Htm Fulltext Fr 2 Snfr Pdf
Epilepsie Du Lobe Temporal Droit Du A Une Sclerose Hippocampique Vulgaris Medical
John Libbey Eurotext Psychologie Neuropsychiatrie Du Vieillissement Sclerose Hippocampique Et Demences
Tel Archives Ouvertes Fr Tel Document
Hippocampe Cerveau Wikipedia
John Libbey Eurotext Psychologie Neuropsychiatrie Du Vieillissement Sclerose Hippocampique Et Demences
Tous Les Cas Cliniques Et E Learning En Radiologie Et Imagerie Medicale De Radeos
Cerf Radiologie Fr Sites Cerf Radiologie Fr Files Files Enseignement Pdf 06 galanaud Exploration Crise Convulsive Des Module Urgences 18 12 Pdf
Jfr 10 L Imagerie De La Maladie D Alzheimer En Pratique Clinique
Http Association Gens Free Fr Neurologia Emc neurologie Afections encephale Epilepsie Malformations du developpement cortical emc Pdf


