Impression Ing
Stainless Steel Tubular Lock Set Impression Tool Professional 62 40 out of 5 stars 1 $4299 $ 42 99 $4999 $4999 Get it as soon as Tue, Jan 26 FREE Shipping by Amazon Only 9 left in stock order soon 3Pcs in 1 Longer 7 Pins Adjustable Tubular Safe Box Tools Stainless Steel Tubular Lock Set Impression Tool Professional 700MM 75MM 7.
Impression ing. Make a key without knowledge of the code or key pattern and without dismantling of the lock The sophisticated choice in opening techniques. Rep Mikie Sherrill has claimed she saw congressional colleagues lead groups on "reconnaissance" surveys of the Capitol ahead of the Jan 6 riot. Activities that are considered appropriate in a particular setting, and the roles and behavior that are expected from people in that setting influence the way in which we form an impression about people and their behavior For example, wearing a swimsuit near a pool is normal, but walking with a swimsuit in the street will tag the person as weird.
Amazoncom Keys to the Kingdom Impressioning, Privilege Escalation, Bumping, and Other KeyBased Attacks Against Physical Locks () Ollam, Deviant Books. Enjoy all the madness!!. Personalizing Your Occasion Your occasion is an important day and the invitation will unwrap the beginning of your special occasion, it is a way to share with your guests your special event When they receive a handmade invitation from Adorning Impressions they will know you truly care We bring your vision to life.
Arousing admiration, awe, respect, etc;. Specialties Impression's Banquet Hall specializes in wedding receptions, engagements, anniversaries, birthday parties, bar mitzvahs, bridal showers, corporate events, Christmas parties and more Established in 12 Impressions Banquet. How To Impression Let’s look now at the actual technique of Impressioning Grab your lock and other tools and let’s get started The steps to take 1) Insert the key into the lock Check to see if there is any movement in the key, ie upward and downward movement Ideally, there will be some play with the key in the lock If the.
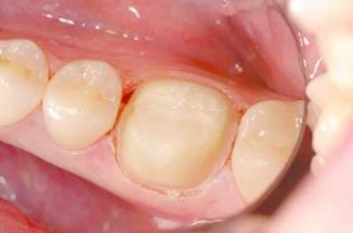
Each print produced is considered an "original" work of art, and is correctly referred to as an "impression", not a "copy" (that means a different print copying the first, common in early printmaking) Often impressions vary considerably, whether intentionally or not. Inkling definition, a slight suggestion or indication;. NoCord VPS is my goto material for patients with thin gingival tissue where packing cord could cause tissue damage or gingival recession NoCord VPS is a great choice for patients who have had LNAP or other periodontal procedure within the last year where you do not want to disturb the maturing gingival attachment but there is a need get an accurate impression to fabricate a crown.
Personalizing Your Occasion Your occasion is an important day and the invitation will unwrap the beginning of your special occasion, it is a way to share with your guests your special event When they receive a handmade invitation from Adorning Impressions they will know you truly care We bring your vision to life. MBA USA, Inc is a provider of locks, tools and training for locksmiths and security professionals. The driveway at your home is going to make a first impression – and whether or not that impression is good or bad largely depends on the care that you’re willing to take with your driveway A well maintained driveway that experiences proper pressure washing procedures will be safer, more attractive, and drive up the valuation of your property.
Admirable an impressive ceremony;. American Key Supply is a leading distributor of professional hardware and locksmith supplies in the United States Our mission is to supply our customers with the highest quality locksmith supplies at competitive prices. An impersonation is a replication of someone's speech or body language While most people try to impersonate someone's voice, a truly great impressions take the whole body Whether you want to impress your friends or an audience, good impersonations require little more than attention to detail and practice Method 1.
Synonyms for lasting impression include enduring impact, enduring impression, enduring influence, lasting effect, lasting impact, lasting influence, permanent impression and unchanging impression Find more similar words at wordhippocom!. Impressioning is the art of fabricating a working key for a lock using only a hand file, a blank key, and keen observation Without taking any mechanisms apart, and while only accessing a locked door from its secured side, it is possible to manipulate a lock in such a way that it will “leak” information, allowing for a full decoding of the pins within. Impressioning is the act of creating a fully working key using nothing but a file, a key blank, and keen observation While standing on the secure side of a locked door, and having no knowledge of the actual working key whatsoever, it is often possible to fabricate a functional key by means of an attack that is difficult to thwart or even to detect.
Cancún ante la adversidad 10 April, Nuestra proyección Internacional 13 March, LA IMPORTANCIA DE LA CERTIFICACIÓN FSC 28 June, 19. Find TimberTech deck railing at Lowe's today Shop deck railing and a variety of building supplies products online at Lowescom. Impressions and Interpretation As we perceive others, we make impressions about their personality, likeability, attractiveness, and other characteristics Although much of our impressions are personal, what forms them is sometimes based more on circumstances than personal characteristics All the information we take in isn’t treated equally.
CertainTeed warrants to the property owner that its Cedar Impressions® polymer shake and shingle siding, soffit and accessory products (“siding products”) are free from manufacturing defects in material and workmanship if installed according to our applicable specifications, subject to the terms and conditions of this Warranty If CertainTeed. I tried this product in hopes of having a key impression magnifier that was easier to store than my old jeweler glasses that I was in need of replacing The mag light connector makes this very convenient to use indoors or on cloudy days and the key slot by the magnifier is a little detail that one didn't know they wanted until it was there. Categories Key Machines Cutting by Code ;.
So to answer the question, as long as you own the lock you can impression it, and anyone who has been granted permission to work on one can impression said lock It is usually the case that you will find a locksmith impressioning a lock However, if you take up the skill yourself, you can impression your own locks for practice purposes. “The tongue has the power of life and death, and those who love it will eat its fruit” – Proverbs 11 There is power in the word and there is power in the tongue Blessing Impressions seeks to use both to speak life through personalized Christian home decor that stands as a daily reminder of the promises of God in our daily lives. Experts such as world champion lock pickers Oli Diederichsen (who wrote the book we stock) and Jos Weyers (who demonstrated impressioning with our tools at a workshop a few years ago) can impression locks in under a minute SO with a blank key and a few tools, they have the lock opened and a working key in 60 seconds Wow!.
Download files and build them with your 3D printer, laser cutter, or CNC Thingiverse is a universe of things. Then the wafers will slice a nice little groove into your key This process could take 15 75 minutes based on 1) the skill of the locksmith and 2) the difficulty of the lock. Lockpicking Forensics Impressioning This page details the techniques, tools, and forensic evidence left behind by impressioning;.
How To Impression Let’s look now at the actual technique of Impressioning Grab your lock and other tools and let’s get started The steps to take 1) Insert the key into the lock Check to see if there is any movement in the key, ie upward and downward movement Ideally, there will be some play with the key in the lock If the. Enjoy all the madness!!. Apparently it’s been around for fifteen years but using foil impressions to pick locks is new to us This is similar to using bump keys but it works on locks that are supposedly much more secure.
** SHOP HERE ** for the BEST key making machines and impressioning files. An idea or opinion of what something or someone is like I didn't get much of an impression of the place because it was dark when we drove through it What was your impression of Charlotte's husband?. Need the PERFECT Solution for making keys?.
I always wondered, how the Disney characters at the park would react to my impressions, and they didn't disappoint!. In the 33 years that I have been practicing dentistry, I have seen many industry changes, particularly when it comes to the materials, equipment, and techniques for taking impressions for crowns While digital and traditional impressioning techniques require different steps, the final product of a perfectly fitting and lifelike restoration can be attained through both procedures. Find TimberTech deck railing at Lowe's today Shop deck railing and a variety of building supplies products online at Lowescom.
In the 33 years that I have been practicing dentistry, I have seen many industry changes, particularly when it comes to the materials, equipment, and techniques for taking impressions for crowns While digital and traditional impressioning techniques require different steps, the final product of a perfectly fitting and lifelike restoration can be attained through both procedures. Unprepossessing definition is not tending to create a favorable impression not prepossessing How to use unprepossessing in a sentence. Digital impression systems offer a multitude of benefits over traditional impressions, including the ability to view the preparation magnified on acomputer screen Similar to being able to review a digital camera picture immediately after it is taken and change the camera settings to improve the quality of the picture, a practitioner can.
Are you looking for a locksmith file set?. Impressive definition, having the ability to impress the mind;. Probably the best deal for a HUK 7 Pin Tubular Lock Pick Set (3 Pieces) authentic / 7mm/75mm/78mm dia USD 1861 as of 1/18/21 Free shipping worldwide on all orders Prices unbelievably cheap.
I always wondered, how the Disney characters at the park would react to my impressions, and they didn't disappoint!. Access ® Impression View as Grid List 4 Items Show per page Sort By Set Descending Direction Access BLUE ® Bite Registration Rating 0% As low as $49 Add to Cart Access Impression Materials. Status Inactive Industry Machinery, Mfg Hardware Doing business as Electronic Industrial Equipment, Inc Registration Mar 13, 19 Phone (239) Description Electronic Industrial Equ is a Machinery company located in 1917 SE 19th CT, Cape Coral, FL, United States State ID K777 Business type Domestic for Profit Corporation Members (3) Hans R Stegmann (Owner, Director.
Whether you’re presenting in front of a massive audience or dealing with a customer service crisis, nailing the pressure moments will define a lasting impression So, pay attention to how you. To impression wafer locks, you should sharpen both sides of the key (only if the key is two sided);. Impressioning is the act of creating a fully working key using nothing but a file, a key blank, and keen observation While standing on the secure side of a locked door, and having no knowledge of the actual working key whatsoever, it is often possible to fabricate a functional key by means of an attack that is difficult to thwart or even to detect.
We may never get a second chance to make a first impression, so we ought to make the most of that opportunity And we cannot ignore the fact that it is often the last(ing) impression we leave with one individual that shapes the first impression for countless others potentially watching Do you spend more time informing first or last(ing) impressions?. A covert method of entry This include use of manipulation, copying, and molding Impressioning uses a variety of other tools to make it more effective, such as files, ultraviolet (UV) ink, and various light sources. Intimation They hadn't given us an inkling of what was going to happen See more.
MBA USA, Inc is a provider of locks, tools and training for locksmiths and security professionals. Welcome to Beaming Impressions We love to hear from customers, so feel free to contact us for custom orders!. Faster Impressions Equal Higher Productivity A traditional impression takes, on average, four minutes from start to finish The process requires trays, the mixing of material, and time to set in the patient’s mouth Digital impressions eliminate these steps, and for these doctors, that means major time savings.
Being in the act of making an impression Get a Impressioning mug for your brother Manafort. A person desirous of impress ing Lord Ellenborough with his importance, said, "I sometimes employ myself as a doctor" The Jest Book Mark Lemon The first of these methods—the living voice—has many advantages over all other means, in conveying and impress ing truth. As I listen to teammates communicate their last(ing) impressions I am filled with joy as clearly, they are too We must give people reason to want to join our team and reason to want to stay on our team When it’s time for them to leave we want them to be proud of the team we became, as well as the people they grew into, during the journey we.
Vinyl Impressions 2169 Lynwood Dr, Lancaster, SC 297 > Business Background Report Company Profile Phone (803) Member Derick Tucker Categories Siding Contractors Reviews Write Review No reviews for Vinyl Impressions yet Former Employees Position at Vinyl Impressions. Framon Impressioning Grip Considered by many to be the gold standard of key grips, the Framon grip is a robust tool for key im $6000. Kalifornia Key Chains by ProLok offers the best collection of useful and novelty keychains and key accessories on the web There are many styles of keyrings to choose from and we offer a number of packaging options so customers can show off their personal style while retailers can maximize profits on those impulse buys.
Designed to enable rapid and effective impressioning of pin cylinder locks, through the acquisition of superior and well defined impression marks The system places less stress upon both the lock being impressioned and the key blank being used than conventional techniques This results in less ‘loose’ locks and greatly reduces cracked and/or broken keys. Browse our collection to find the key impressioning, pippin, and warding files you need from Lockpickscom!. Impression definition, a strong effect produced on the intellect, feelings, conscience, etc See more.
Our Lightbox contains 2 different lighting options which can be selected when ordering All Lightboxes are built with white light LED’s as standard and a choice of a second colour to suit your personal preference The second colour can be Blue, or Orange LEDs Through many years of lock impressioning we have found these 2 additional colours to be of the greatest use for picking up. Printmaking is the process of creating artworks by printing, normally on paperPrintmaking normally covers only the process of creating prints that have an element of originality, rather than just being a photographic reproduction of a painting.
Impressioning A Ford Ignition Lock Youtube
Ultraviolet Impressioning Toool S Blackbag
New Hq Design Receives Highest Sustainability Rating Ing
Impression Ing のギャラリー
Impressioning Pliers Zieh Fix Com
Fitting Keys By Impressioning Manual Clk Supplies Llc
Lock Picking 101 Forum How To Pick Locks Locksport Locksmithing Locks Lock Picks
Advanced Foil Impressioning Toool S Blackbag
Advanced Foil Impressioning Toool S Blackbag
Impressioning Plier Black Mba Usa Inc
Covert Impressioning Light Mr Locksmith Training
Letters Of A Self Made Failure Tention Will Eventually Cre Ate The Impression That He Is Not Gettingyour Maximum Efficiency No Matterin A Self Made Failure How Well You Serve Him That Idea Isbound
Besluit De Els Valt Eind November Foto Nl
New Hq Design Receives Highest Sustainability Rating Ing
Clean Grip Deluxe Impressioning Tool Cgit 10
Impressioning Light Box Stirling Locksmith Supply
When Every Second Counts Formula 1 Impressioning Tool Toool S Blackbag
How To Use A Key Impressioning Kit From Tradelocks Youtube
One Step Self Retracting Impressioning System Saves Time Frustration Compendium
Legge Yellow Professional Mortice Lock Impressioning Set Citysafe
Lock Impressioning The Alternative Lock Picking Method
Offboarding Make A Positive Last Ing Impression
Yale Mortice Lock Impressioning Set Citysafe
Ing Chooses Architects Benthem Crouwel For Construction Of New Head Office Ing
The National Locksmith Guide To Picking And Impressioning Foley Belsaw Locksmithing
Impressioning Pliers Imp Grip 5 Zieh Fix Com
Pro Lok Lt700 Standard Impressioning Tool Craftmaster Hardware
Buy Dpi Impression Paste Dental Impressioning Material At Best Price Online In India Smart Medical Buyer
Impressioning By Oliver Diederichsen
Impressioning Open The Lock And Get A Working Key Discount Code
Impressioning Hackaday
Defcon 19 Key Impressioning Youtube
Impressioning Locks By Bosnianbill
Clean Grip Impressioning Tool Hpc Esp Division Of Hudson Lock Llc
The Startling Inaccuracy Of The First Impression Amanda Radley
Predictable Impressioning Dentistryiq
Impressioning Raf S Lockpicking World
Time Is Money In Impressioning Dental Economics
A Beginner S Guide To Lock Impressioning
Impression Viewer Eod Tools Tactical Electronics
Hpc Clean Grip Impressioning Tool Pick My Lock
Master Impressioning Tool Youtube
349 Banggood Huk 3 Piece Tubular Lock Impressioning Tool Set Review Youtube
Pro Lok Standard Impressioning Tool Amazon Co Uk Business Industry Science
Hpc Impressioning Files Officekeys Ca
Impressioning Raf S Lockpicking World
Your Last Ing Impression Counts Digital Glue Agency
Profiles Of Impression Management For Sample 2 Sup Supplication Int Download Scientific Diagram
10x Key Impressioning Magnifier Mba Usa Inc
Impressioning Handle Clean Grip For Flat Key Blank Zieh Fix Com
Impressioning Here We Go Lockpicking
How To Use Legge Mortice Lock Impressioning Set From Tradelocks Youtube
Advanced Foil Impressioning Toool S Blackbag
Impressioning Lockwiki
Impressioning Manual 2 Pdf Knife Blade
Key Impressioning Zion Locksmith
Ing Sustainable Investments Finances Circular Tech Company Milgro Ing
Legge Yellow Mortice Impressioning Kit Walker Locksmiths
Advanced Foil Impressioning Toool S Blackbag
The Kindergarten Magazine Heballs J Articipation In All Th Ing The Same Thing At The Sametime And An Impression Of The Continuity Of The Processesol Ileelopment Of The Flower From The Sceil To
Ing Chooses Architects Benthem Crouwel For Construction Of New Head Office Ing
We A Ways Nd Somet Ing To Give You The Impression E Xis T Tecnoevoution Volution 11 We Always Find Something To Give You The Impression We Exist Ing Meme On
Q Tbn And9gcteydpdrz8uunu7gj4nxdussz9bc2zhkexy5il0kos Usqp Cau
Ing Direct And Radian6
Canadian Grocer January March 1919 Advertising Makes For Better Merchandise Not Only Does Advertising Create A Good Impression Regard Ing The Merchandise Advertised But It Makes Forbetter Merchandise There Are Added Responsi Bility And
Impression Keys Raf S Lockpicking World
867 How To Impression A Key Youtube
The End Of The F Ing World Illustration Affiche Et Impression D Art Teepublic Fr
Nocord Vps One Step Self Retracting Impressioning System
Ubica Impression Latex Medium 90x2 Opruiming Matrasshop Com
Ing Plans Campus For Innovators Ing
Forget The First Impression What S Your Last Ing Impression
Impressions Lupe Zieh Fix Com
Impressioning Lockwiki
Impressioning Set For Double Bit Locks Locksmith Cz
The Receipt A Last Ing Impression The Integer Group
Faster Is Not Always Better When It Comes To Impressioning
Nocord Vps One Step Self Retracting Impressioning System
Advanced Foil Impressioning Toool S Blackbag
Pro Impressioning Tool Stirling Locksmith Supply
Impressioning Lockwiki
The Hanoi Ing Impression Sandwich Findingmyjaninay
Considerations In Impressioning Methods And Material Selection 3m Dental Blog
Grupo Regio Imprenta Mexico Impression Ing Grupo Regio Imprenta Mexico
Dimple Pin Impressioning Set Goso Lock Picks
Dimple Pin Impressioning Set Goso Lock Picks
M Light Impressioning Light Madelin S A
World Cuisine On Ing S New Campus Ing
Cutting Keys Not Corners What Is Impressioning
Heatsync Labs Key Impressioning Workshop At Locksync Tonight Example Pour From A Clay Impression Of A Demo Lock Hsl Http T Co Wdcs2tky6z Ubersch
Learn How To Impression Step By Step Guide Clk Supplies Llc
3m Espe Alginate Impressioning Material Weight 500g Rs 350 Pack Id
Framon Metal Key Grip Key Impressioning For Lockpicking
Http Www Hindsdds Com Customimpcoping Pdf
How To Impression A Key Impressioning Pin Tumbler Ford Door Lock Youtube
Tubular Impressioning Tool Lockpickshop
Dimple Pin Impressioning Set Goso Lock Picks
Last Ing Impressions Sean Heritage
The Art Of Impressioning Master Locksmiths
Pro Impressioning Tool Stirling Locksmith Supply
How To Fit Keys By Impressioning
A Beginner S Guide To Lock Impressioning


